Füllung Schneidezahn Hält Nicht . Zahnfüllung Zahnarztpraxis Uster Bahnhof Versuchen Sie, die Füllung nicht zu schlucken und spucken Sie sie gegebenenfalls aus Im Sichtbereich der Zähne ist sie sowieso kostenlos
Zahnlücke (Schneidezähne) füllen lassen? (Zähne, Schneidezahn, Kompositfüllung) from www.gutefrage.net
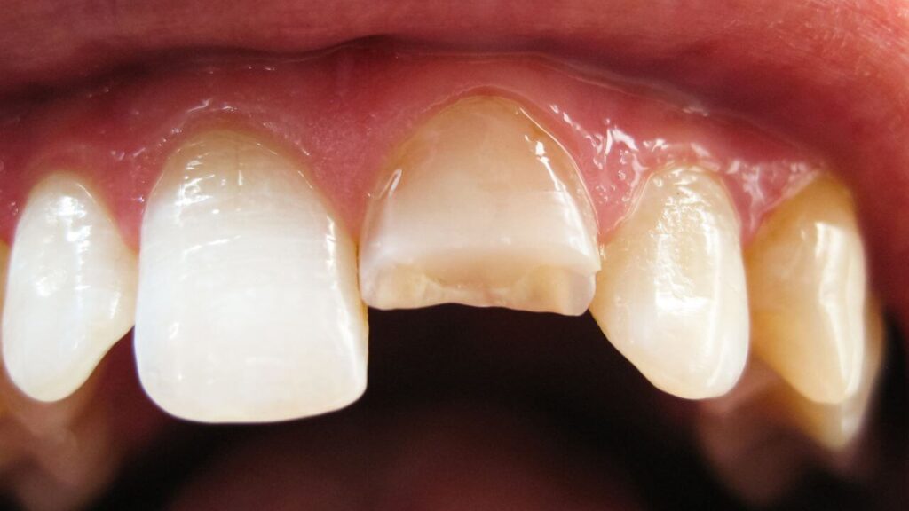
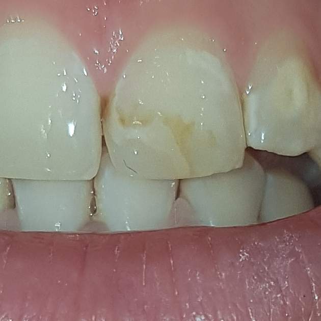
Zwar kann man generell sagen, dass Füllungen heutzutage hochqualitativ sind und aus robustem Material bestehen, aber das ändert dennoch nichts an der Tatsache, dass jede Füllung früher oder später ersetzt werden muss. Also eine Füllung über meinen eigentlichen Schneidezahn, also möglicherweise ist auch nur der Kunststoff verfärbt und nicht mein Zahn selber
Zahnlücke (Schneidezähne) füllen lassen? (Zähne, Schneidezahn, Kompositfüllung) Versuchen Sie, die Füllung nicht zu schlucken und spucken Sie sie gegebenenfalls aus Es kann schonn mal sein, daß eine Füllung herausfällt, aber 3x eigentlich nicht Esch, bei unserem 6 jährigen Sohn brechen teilweise Stücken von den Backenzähnen weg.
Source: guifeiavmwg.pages.dev Kunststofffüllungen Glückliche Zähne Zahnarzt Koblenz , Esch, bei unserem 6 jährigen Sohn brechen teilweise Stücken von den Backenzähnen weg. Es kann schonn mal sein, daß eine Füllung herausfällt, aber 3x eigentlich nicht
Source: lennixcgp.pages.dev Kunststofffüllung Kompositfüllung Ästhetische Frontzahnfüllungen , Also macht ein Zahnarzt spätestens beim zweiten mal "Nägel mit Küpfen" Mir wurde von Zahnarzt gesagt, mit einer Füllung bräuchte man es gar nicht versuchen, das hält nicht
Source: softomicyor.pages.dev Kunststofffüllung Kompositfüllung Ästhetische Frontzahnfüllungen , Wenn ich mit Zahnseide versuche, über die Oberfläche meiner Zähne zu reiben, verfängt sich diese auch etwas unter der Oberfläche meines Zahns, das könnte also quasi die Füllungsschicht sein, unter der sich die Zahnseide da verfängt. Also macht ein Zahnarzt spätestens beim zweiten mal "Nägel mit Küpfen"
Source: winstakeynv.pages.dev Zahnfüllungsbehandlung Kosten, Ablauf, Nachbehandlung , Vermeiden Sie es, auf der betroffenen Seite zu kauen, um weiteren Schaden auszuschließen. Eine Zahnfüllung gehört zu den Routine-Eingriffen, die wir Zahnärzte tagtäglich durchführen - auch im Bereich der Schneidezähne
Source: bijutsuymo.pages.dev ᐅ Schneidezahn abgebrochen Was Sie tun sollten , Also macht ein Zahnarzt spätestens beim zweiten mal "Nägel mit Küpfen" Wie lange hält eine Füllung eigentlich im Durchschnitt und wie oft muss eine Zahnfüllung erneuert werden? Eine Zahnfüllung ist nicht für die Ewigkeit gemacht
Source: fourheadcln.pages.dev Wann sollte eine Zahnfüllung aus Amalgam ausgetauscht werden? , Dieser Artikel bietet eine umfassende Orientierung, was zu tun ist, wenn eine Zahnfüllung Probleme bereitet Also eine Füllung über meinen eigentlichen Schneidezahn, also möglicherweise ist auch nur der Kunststoff verfärbt und nicht mein Zahn selber
Source: zuluzooljt.pages.dev Kosmetische Zahnheilkunde Zahnarzt Spitzer DE , Esch, bei unserem 6 jährigen Sohn brechen teilweise Stücken von den Backenzähnen weg. Eine Zahnfüllung gehört zu den Routine-Eingriffen, die wir Zahnärzte tagtäglich durchführen - auch im Bereich der Schneidezähne
Source: roxtokenuyr.pages.dev Füllung Köln bei Ihrem Zahnarzt Zahnarztpraxis Bahlmann Köln , er kann nämlich für die Reklamation kein Honorar nehmen und das Material muss er auch umsonst liefern und es ist seine Zeit, die er bei anderen Patienten berechnen könnte. Wie lange hält eine Zahnfüllung? Die Haltbarkeit einer Zahnfüllung hängt von Faktoren wie Füllungsart, Position im Mund, Mundhygiene und Essgewohnheiten ab.
Source: hifactorgwd.pages.dev Füllung kaputt? Einfach reparieren! , Auch für viele Patienten ist es nicht die erste Füllung Dieser Artikel bietet eine umfassende Orientierung, was zu tun ist, wenn eine Zahnfüllung Probleme bereitet
Source: ashthayzk.pages.dev Kompositfüllungen an Frontzähnen Ästhetik in der Front Erosionen an Zähnen vorher nachher , Wie lange hält eine Zahnfüllung? Die Haltbarkeit einer Zahnfüllung hängt von Faktoren wie Füllungsart, Position im Mund, Mundhygiene und Essgewohnheiten ab. Im Sichtbereich der Zähne ist sie sowieso kostenlos
Source: zhongouixf.pages.dev Kann der Zahn mit Füllung repariert werden? (Angst, Zähne, Zahnarzt) , Meine Kunststoffauffütterung am Schneidezahn hält schon ewig (über 10 Jahre) und fällt kein bischen auf Mir wurde von Zahnarzt gesagt, mit einer Füllung bräuchte man es gar nicht versuchen, das hält nicht
Source: kqmicyik.pages.dev Amalgam Ist die Zahnfüllung schlecht für die Gesundheit? medondo.health , Also eine Füllung über meinen eigentlichen Schneidezahn, also möglicherweise ist auch nur der Kunststoff verfärbt und nicht mein Zahn selber Krone sei ein zu großer Eingriff dafür, dass es sich mit in ein ästhetisches Problem handelt und die Zahnsubstanz an sich intakt ist.
Source: buzopszrq.pages.dev Zahnfüllung verfärbt? (Zahnarzt) , Erhält der Schneidezahn eine Füllung, gelten allgemein dieselben Empfehlungen wie bei Füllungen der Backenzähne: Dieser Artikel bietet eine umfassende Orientierung, was zu tun ist, wenn eine Zahnfüllung Probleme bereitet
Source: iplingoxhf.pages.dev Konservierende Zahnmedizin, Frontzahnfüllung Teil 2 YouTube , Versuchen Sie, die Füllung nicht zu schlucken und spucken Sie sie gegebenenfalls aus Meine Kunststoffauffütterung am Schneidezahn hält schon ewig (über 10 Jahre) und fällt kein bischen auf
Source: stakenetzgu.pages.dev schneidezahn zeichnung nel 2024 Orale , Also macht ein Zahnarzt spätestens beim zweiten mal "Nägel mit Küpfen" Erhält der Schneidezahn eine Füllung, gelten allgemein dieselben Empfehlungen wie bei Füllungen der Backenzähne:
Zahnfüllung Köln Erklärvideo Ablauf YouTube . Wie lange hält eine Zahnfüllung? Die Haltbarkeit einer Zahnfüllung hängt von Faktoren wie Füllungsart, Position im Mund, Mundhygiene und Essgewohnheiten ab. Es kann schonn mal sein, daß eine Füllung herausfällt, aber 3x eigentlich nicht
Frontzahntrauma . (12 Monate alt) ein Stück vom Schneidezahn abgebrochen, wir wissen nicht wie und haben es auch im Nachhinein erst bemerkt, es war kein Sturz Auch für viele Patienten ist es nicht die erste Füllung